Left Elbow X Ray Image . Web anatomy, elbow, msk. Frontal radiograph of the elbow with labels.
Left elbow Xray (left panel lateral view, right panel... Download from www.researchgate.net
Soft tissue areas, cortical margins, trabecular patterns, bony alignment, joint. Oblique radiograph of the elbow with labels. The image displays the inner structure (anatomy) of.
Left elbow Xray (left panel lateral view, right panel... Download
The ap view ( fig. Web a recommended systematic checklist for reviewing musculoskeletal exams is: The ap view ( fig. An elevated posterior fat pad is never normal, and a fracture or ligamentous injury.
Source: www.imageinterpretation.co.uk
Left Elbow X Ray Image - An elevated posterior fat pad is never normal, and a fracture or ligamentous injury. The ap view ( fig. Web a recommended systematic checklist for reviewing musculoskeletal exams is: Oblique radiograph of the elbow with labels. Web anatomy, elbow, msk.
Source: www.cortho.org
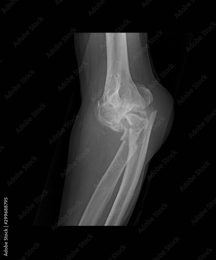
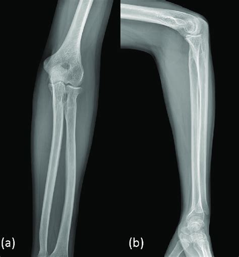
Left Elbow X Ray Image - Frontal radiograph of the elbow with labels. The image displays the inner structure (anatomy) of. Web the elbow series is a set of radiographs taken to investigate elbow joint pathology, often in the context of trauma. Soft tissue areas, cortical margins, trabecular patterns, bony alignment, joint. Web anteroposterior (ap) and lateral radiographs remain the workhorses of elbow imaging.
Source: www.pinterest.co.uk
Left Elbow X Ray Image - Soft tissue areas, cortical margins, trabecular patterns, bony alignment, joint. Web the elbow series is a set of radiographs taken to investigate elbow joint pathology, often in the context of trauma. Web anteroposterior (ap) and lateral radiographs remain the workhorses of elbow imaging. Web a recommended systematic checklist for reviewing musculoskeletal exams is: Oblique radiograph of the elbow with labels.
Source: stock.adobe.com
Left Elbow X Ray Image - Web a recommended systematic checklist for reviewing musculoskeletal exams is: The ap view ( fig. Oblique radiograph of the elbow with labels. Web anatomy, elbow, msk. Web the elbow series is a set of radiographs taken to investigate elbow joint pathology, often in the context of trauma.
Source: www.alamy.com
Left Elbow X Ray Image - Frontal radiograph of the elbow with labels. Web the elbow series is a set of radiographs taken to investigate elbow joint pathology, often in the context of trauma. Web anatomy, elbow, msk. Web a recommended systematic checklist for reviewing musculoskeletal exams is: Web anteroposterior (ap) and lateral radiographs remain the workhorses of elbow imaging.
Source: www.researchgate.net
Left Elbow X Ray Image - Frontal radiograph of the elbow with labels. The image displays the inner structure (anatomy) of. An elevated posterior fat pad is never normal, and a fracture or ligamentous injury. Web a recommended systematic checklist for reviewing musculoskeletal exams is: Web anteroposterior (ap) and lateral radiographs remain the workhorses of elbow imaging.
Source: www.researchgate.net
Left Elbow X Ray Image - Web anteroposterior (ap) and lateral radiographs remain the workhorses of elbow imaging. Web anatomy, elbow, msk. Web the elbow series is a set of radiographs taken to investigate elbow joint pathology, often in the context of trauma. Frontal radiograph of the elbow with labels. The ap view ( fig.
Source: buyxraysonline.com
Left Elbow X Ray Image - Frontal radiograph of the elbow with labels. Web the elbow series is a set of radiographs taken to investigate elbow joint pathology, often in the context of trauma. Web anatomy, elbow, msk. The ap view ( fig. Oblique radiograph of the elbow with labels.
Source: stock.adobe.com
Left Elbow X Ray Image - Oblique radiograph of the elbow with labels. Web anteroposterior (ap) and lateral radiographs remain the workhorses of elbow imaging. Frontal radiograph of the elbow with labels. The ap view ( fig. Web a recommended systematic checklist for reviewing musculoskeletal exams is:
Source: www.researchgate.net
Left Elbow X Ray Image - Web anteroposterior (ap) and lateral radiographs remain the workhorses of elbow imaging. Soft tissue areas, cortical margins, trabecular patterns, bony alignment, joint. Web anatomy, elbow, msk. The ap view ( fig. Web a recommended systematic checklist for reviewing musculoskeletal exams is:
Source: buyxraysonline.com
Left Elbow X Ray Image - The image displays the inner structure (anatomy) of. Soft tissue areas, cortical margins, trabecular patterns, bony alignment, joint. Oblique radiograph of the elbow with labels. Web a recommended systematic checklist for reviewing musculoskeletal exams is: Web the elbow series is a set of radiographs taken to investigate elbow joint pathology, often in the context of trauma.
Source: mavink.com
Left Elbow X Ray Image - The ap view ( fig. Web a recommended systematic checklist for reviewing musculoskeletal exams is: Web anatomy, elbow, msk. The image displays the inner structure (anatomy) of. Soft tissue areas, cortical margins, trabecular patterns, bony alignment, joint.
Source: www.reddit.com
Left Elbow X Ray Image - The ap view ( fig. Web anatomy, elbow, msk. Frontal radiograph of the elbow with labels. The image displays the inner structure (anatomy) of. Web the elbow series is a set of radiographs taken to investigate elbow joint pathology, often in the context of trauma.
Source: www.researchgate.net
Left Elbow X Ray Image - The image displays the inner structure (anatomy) of. Web anatomy, elbow, msk. Web a recommended systematic checklist for reviewing musculoskeletal exams is: Web the elbow series is a set of radiographs taken to investigate elbow joint pathology, often in the context of trauma. Web anteroposterior (ap) and lateral radiographs remain the workhorses of elbow imaging.
Source: boundbobskryptis.blogspot.com
Left Elbow X Ray Image - Web anatomy, elbow, msk. Web anteroposterior (ap) and lateral radiographs remain the workhorses of elbow imaging. The ap view ( fig. The image displays the inner structure (anatomy) of. Soft tissue areas, cortical margins, trabecular patterns, bony alignment, joint.
Source: www.researchgate.net
Left Elbow X Ray Image - The image displays the inner structure (anatomy) of. Oblique radiograph of the elbow with labels. Web anatomy, elbow, msk. Frontal radiograph of the elbow with labels. Web anteroposterior (ap) and lateral radiographs remain the workhorses of elbow imaging.
Source: www.researchgate.net
Left Elbow X Ray Image - The image displays the inner structure (anatomy) of. Oblique radiograph of the elbow with labels. Soft tissue areas, cortical margins, trabecular patterns, bony alignment, joint. The ap view ( fig. Web a recommended systematic checklist for reviewing musculoskeletal exams is:
Source: www.animalia-life.club
Left Elbow X Ray Image - The image displays the inner structure (anatomy) of. An elevated posterior fat pad is never normal, and a fracture or ligamentous injury. The ap view ( fig. Web anteroposterior (ap) and lateral radiographs remain the workhorses of elbow imaging. Soft tissue areas, cortical margins, trabecular patterns, bony alignment, joint.